湖魚の

報告書から論文へ
19.フィールドワークのまとめ
@ 成果発表の方法
○ レポート: フィールドで採取したデータ,スケッチ,分析結果,考察等をまとめて,各自,レポート課題として提出する。--- 教員はコメントを付けてレポートを返却する。フィールドワーク2の場合,レポートの要点として次のような内容が期待される:(1)採集した生物の種,大きさ,個体数,(2)それぞれの種の採集地点とその生息環境のまとめ,(3)それぞれの種の生態的特徴,環境選択性,適応性,食う食われるの関係など,(4)採集方法とサンプリングの偏りについての考察,(5)外部形態,内部形態,胃内容物の観察結果と考察,(6)スケッチ,写真(生物,生息環境)等の添付,(7)上記1〜6に基づく生息環境の診断・評価と環境保全への提言,(DNAによる種判別,あるいは被食魚の種判別を行なった場合は,その結果と考察)。フィールドワーク3のレポートについては,「フィールドワークレポートの書き方」の項を参照。
○ 発表会: その後,学会発表に倣って,A0版のポスターを手書きで作製し,全体発表会を行う。発表会では,活発な質疑応答が行われる。フィールドワーク3では,学内発表会は設けず,水産関連の学会などで調査・研究成果を発表する。
○ 報告集(論文): 最後に,フィールドワーク報告集に載せる原稿を協力して作成する。--- 教員は数回の添削指導を行う。
A 到達目標・今後の課題
フィールドワーク2(2回生の授業,必修科目)では,受講学生のほとんどが魚類に関する予備知識を持たない。さらに,魚類にあまり関心のない学生も多い。十分に授業時間があれば,初心者であっても,少しずつ教える(上達させる)ことが可能だが,フィールドワーク2は授業時間数も限られており,練習による上達が期待できない。したがって,種判別の方法についても,基本事項と方法を教えるに留まり,正確に(計数形質の)計数や,種の同定が出来ている訳ではない。しかし,間違った数値や間違った種であっても,学生がそのようにレポートしたものについては,教員が削除あるいは修正することはせず,そのままフィールドワーク報告集としてまとめている。
フィールドワーク2は「教育を目的」として実施している。したがって,フィールドワーク報告集の内容は教育成果であって,研究成果ではない。フィールドワーク2で得られたデータは,フィールドワーク報告集以外の場で公表することはしない。フィールドワーク2の今後の課題は,練習して正確に計数が出来るようになることでも,正確に種の同定が出来るようになることでもなく,調査後の議論と考察に多くの時間をとり,学生が考察の方法を学ぶ(研究脳を育てる)ことであり,自分で次に行いたい研究の計画を立てるような主体性の育成である。
フィールドワーク3(3回生の授業,必修科目ではない)では,卒業研究につながる授業ということで,ほとんどの学生が魚類に関心をもっている。さらに,ほとんどの学生が,分子生物学,遺伝学,分子生物学実験・実習などを受講しており,知識的にも技術的にもフィールドワーク2(2回生)に比べて優れている。したがって,フィールドワーク3の内容は格段に向上しており,教育よりも研究入門としてのウエイトが高い。フィールドワーク3のTA(ティーチングアシスタント)を務めるのは,卒論生(4回生)や大学院生で,卒業研究などと連動させるようにしている。すなわち,卒論生や大学院生の助手として,フィールドワーク3の受講生が研究に参加するスタイルをとっている。
このような性格上,フィールドワーク3では,データの正確性も重要となる。幸い,フィールドワーク3には時間制限が無いので,卒論生や大学院生から十分な指導を受けることが出来る。一方,卒論生や大学院生は「教えることで学ぶ」,すなわちこれまでの受身の学習とは逆の方法で学んでいる。フィールドワーク3の研究成果は,卒論生や大学院生との共同研究として学会などで発表する。学会等への参加,および外部研究者との議論・交流を通して,研究への興味・意欲を高めることを目標としている。
フィールドワーク全体を通して,研究に対する考え方を学ぶ機会としている。研究者の多くは「面白い」という言葉を口癖のように多用する。しかし,面白いか否かは,純粋に個人の感覚である。すなわち,ゲームやマンガが面白いのと同じこと。研究は,面白さだけでなく,「重要さ」という物差しでも評価・判断しなければならない。琵琶湖の減少している水産資源を回復するためには,「面白い研究」ではなく,「重要な研究」を優先するのは当然である。このようなことは,フィールドワークから研究へ移行していく時に,考慮すべき要点である。
20.フィールドワークの結果を論文形式にまとめる
フィールドワークのレポートは学生実験のレポートとは性質が異なるので注意する。フィールドワーク2では,結果報告と簡単な考察に留めることが多く,論文レベルの考察は行わない。一方,フィールドワーク3は入門的研究あるいは卒業研究の練習として行っているため,そのレポートは基本的に研究論文の書式を踏襲する。適当な学術論文の書式を真似て書いてもよいが,一般的な書式としては,@研究(調査)の背景と目的,A方法,B結果,C考察,D結論(要約),E謝辞,F引用文献,の項目に分けて記述する。文章は,ワープロ書きで,A4の用紙に横書きとする。全頁の右上にページ番号を付する。
@研究の背景と目的の項には,その研究を行う理由,経緯,目的,意義などを,先行研究,すなわち,関連する研究ですでに結果・論説などが論文等で報告されているもの,を引用して記述する。Why-typeの研究においては,検証する仮説をその帰納過程も含めて明記する必要がある。また,仮説を伴わない調査や分析,データ収集を目的とした研究では,本研究で得られる結果(データ)の有用性・実用性などを記述する。いずれの場合も,他の関連する論文等を適宜引用して論理的に説明する。引用論文等の根拠を欠いた文章は,個人の想像や主観と区別できない。すなわち説得性,信憑性が失われる。
A方法の項には,調査で用いた道具,方法,場所,日時など,および実験・分析に用いた試薬類,機器類,分析方法,生物種などを記す。また,データの統計的解析に用いた解析方法(検定法)および用いた統計ソフトなども記す。
B結果の項には,結果のみを分かり易く簡潔に書く。データを,表(Table)または図(Figure: グラフと写真のこと)にして,分かり易くまとめる。なお,同じデータを表と図の両方で示すことは,原則として許されない(表or図のどちらか一方にする)。図表中に用いるフォントは,十分見えるサイズとする(本文のフォントと同じか1ポイント小さく)。すべての図表は,文章中(結果の項)で必ず引用し,説明をつける。結果の項に考察を含めて書く場合もある。その時は,「結果と考察」という見出しを付ける。また,フィールドワークで絶滅危惧種や希少種が採集された場合,その採集場所や種の報告は慎重に行う(密漁者に情報提供することのないように)。
C考察の項は,結果を十分精査し,先行研究の結果などと照らし合わせ,内容の深いものを書く。結果の繰り返しにならないよう注意する。また,想像や空想にならないように,先行研究の引用も含めて,しっかりと根拠を示し,科学的方法に基づいて帰納的に推論する。得られた結果に対し、原因はひとつとは限らない(むしろ多くの原因が複雑に関与している場合が多い)。あるいは、ある原因を別の原因が引き起こしている場合も多い。単純な思考は禁物である。考察がある程度まとまったら、次に行うべき研究(今回の研究の結果生じた新たな仮説や,未決の問題など)も記述する。考察の基本事項として,得られた結果(データ)については,全て何らかの説明・解釈を付ける(データを提示するのみで,全く言及しないのは不可)。また,都合の悪いデータ(変なデータ,説明困難なデータ)については,特に考察を加える必要がある。さらに,都合の悪い先行研究(自分の研究と異なる結果を報告している他者の研究)なども公正に引用し,「なぜ結果が異なるのか」を考察し説明しなければならない。都合のよい先行研究(自分の研究と同じ結果の研究)のみを選んで引用すると,Pseudo-science,つまり偽りの科学と見なされるので注意すること。また,当然引用すべき先行研究を引用していない場合も,同じくPseudo-science,あるいはいい加減な研究として評価されるので注意が必要である。
D結論(要約)の項は,全体のまとめ,要点を簡潔に書く。箇条書きにしてもよい。
E謝辞の項は,調査・研究でお世話になった方々へのお礼の言葉を述べる。また,調査費・研究費,資材,薬品などを提供して頂いた機関や団体,個人等に対する謝意を表する。謝辞に個人名(および個人情報)や会社名,団体名などを出すべきではない場合もあるので,注意すること。
F引用文献の項は,本文で引用した文献のみを,筆頭著者のアルファベット順で列挙する(本文中には,著者名と出版年を示す)。参考文献は表記しない。引用文献は,著者名,発行年,論文題目,雑誌名,巻数,初頁-終頁,のような様式で記載する。他人の研究結果,仮説,アイデア,フレーズ等には,必ず出典を明記する。これをしないと盗用になるので注意する。また,他人の書いた文章をそのまま引用すること(コピペ)は必要最小限に留め,引用符(“ ”)を付けると共に,必ず出典を明記する。インターネットのサイトを引用文献とするのは通常認められない(容易に削除・変更されるため。また,査読等の専門的審査を受けおらず,内容の信憑性が不明なため)。新聞,週刊誌,文庫本などの内容も,専門的審査を受けておらず(信頼性が十分でないため),引用は望ましくない。
論文を読む: 論文を執筆する場合,自分の研究結果だけでなく,先行する関連研究を引用し,比較・議論する必要がある。先行する研究論文の収集と考察は長い時間を要する。すなわち,論文を読む時間の何倍もの時間が「考える時間」として必要となる。したがって,できるだけ早い段階から取り掛かる必要がある。
論文を書く: 研究論文は,調査や実験(分析)結果を報告するだけのレポートのようなものではない。また,先行する関連研究を紹介するものでもない。論文を書くに当たっては,得られた結果をじっくり考察し,先行研究の結果と比較しながら,自分の結論を帰納的かつ客観的に導く必要がある。しかし,そうやってじっくり考えて書いたはずの論文原稿でも,最初は人に見せられないほど荒削りなのが普通である。この原稿を何度も繰り返し推敲し,さらに自分以外の人(先生や先輩)に原稿を査読してもらうことで,論文らしい形に仕上げていく。このため,論文を書く作業(時間)は,フィールド等でのサンプリングと実験室でのサンプル分析を合わせた時間と同じくらい,あるいはそれ以上の時間を要するのが普通である----学生の大半は,この点を誤解している(結果が出たらほぼ終わり,と思っている。学生実験のレポートと混同してはいけない)。できるだけ早い段階で,原稿の執筆に着手し、考察と推敲の時間を十分にとることが肝要である。
報告集や論文を書くに当たって注意すべきこと: 報告集も論文も外部に情報や記録として発信するものである。したがって,公表してはいけない情報については特に注意すること。いったん印刷物となって配布されれば,回収はまず不可能である。基本的に,公表してはいけない,もしくは事前の承諾を必要とする情報として,以下のものが挙げられる。1.個人情報,2.差別に関わる情報,3.誹謗中傷,4.希少種・絶滅危惧種などの生息場所を特定できるような情報,5.誤った情報および不確実な情報を事実であるかのように表記すること。
フィールドワーク発表会

フィールドワーク2(2回生)の成果は,レポートおよびフィールドワーク報告集として刊行するほか,学内の発表会において、活発な議論が交わされる。

フィールドワーク3(3回生)の成果は,フィールドワーク報告集として刊行する。また,学生が自ら学会等で発表することを目標にしている。
21.フィールドワーク報告集より
(2011年度フィールドワーク2報告集より引用)
江面川は泥底の小河川で,水は常時濁っており,ペットボトルなどのゴミが散在する。その環境は一見して「汚い」という印象である。しかし,魚類採集の結果を見ると,多くの魚類(とくに稚魚類)が採集されたこと,および汚染に弱いとされるヌマエビも多く採集されたことから,江面川は汚染に弱い生物でも生息可能な比較的良好な水環境であると考えられる。水田地帯を流れ,水田からの排水を集める江面川の水環境が良好であるということは,水田からの排水がほとんど汚染されていないことを示唆している。
滋賀県では「環境こだわり農業」といって,農薬や化学肥料の使用量を通常の半分以下に削減した農法が普及している。この低農薬農法によって,琵琶湖および周辺水域の環境保全に取り組んでいる。すなわち,この環境こだわり農法の推進・普及によって,江面川の水環境が保全されていると思われる。

写真1:調査地点Bの様子 2011年は記録的な増水で,水田と水路の段差がなくなっている。
一方で,江面川にはオオクチバスやブルーギルといった外来魚が多く生息していることが投網による採集調査で確認された。さらに,採集したオオクチバスを実際に解剖した結果,魚類(稚魚)やエビ類を多く捕食していることが分かった。従って,これら外来魚による在来魚への食害や在来魚の駆逐を防ぐことは,今後も重要な課題と考える。
外来魚を駆除する取り組みはこれまでも多くの方法が試され,現在も様々な方法で駆除が行われている。しかし,琵琶湖における外来魚の生息数は未だ十分に減少しているとはいえない。今後は,外来魚の生態をより詳しく研究し,より効果的な駆除技術を研究開発すると共に,外来魚問題をより多くの一般の人々にも発信し,啓発を促すような取り組みも重要と思われる。
最後に,江面川は水田地帯に囲まれているが,水の流れは水田→水路→江面川の一方通行であり,水田から水路(排水路)への落差が大きいため魚類が自由に行き来することができない。これは,水田で繁殖するフナやナマズなどの再生産において深刻な問題となっている。しかし,今回江面川につながる水田脇の水路(採集地点B;写真1)で在来魚とナマズの稚魚が多数採集された(写真2)。

写真2:水田脇の水路で多く採集された種不明の稚仔魚
この理由として考えられることは,今年はフナやナマズなど在来魚の繁殖時期に,異常な降雨・増水があり,琵琶湖の水位が記録的に高い日が続いたこと。江面川での水位も異常に上昇し,水田と水路と江面川がほぼ同じ水位となったこと(写真1)。 その結果,産卵期の親魚が水田と水路を自由に行き来できるようになり,水田内で多くのフナやナマズが繁殖できたことが原因と考えられる。
しかしながら,今年のような異常増水がなければ,魚が水田と水路を行き来して繁殖することはできない(実際に,例年は水田や水路で稚魚はほとんど採れない)。そこで,水田に通じる魚道を設置するなどして,異常な降雨がなくても産卵親魚が水田と水路間を往来可能にすることが有効と考えられる。あるいは,水田に産卵親魚を放流(収容)する,または稚仔魚を放養するなどの方法も有効である。このような取り組みは滋賀県ですでに行われており,在来魚の資源増殖の方策として期待されている。
しかしながら,今回の事例に見られるように,在来魚の繁殖時期にあわせて,琵琶湖の水位を(人為的に)高めて産卵親魚が容易に水田で産卵できるようにすることで,在来魚の再生産を助けることもできる。とくに,魚道設置や親魚の収容では,水田毎に行う必要があるのに対して,水位操作は琵琶湖周辺の全ての水田に対して有効であることから,減少している在来魚の繁殖率を高め,琵琶湖の水産資源量(漁獲量)を回復する上できわめて効率的な方法と考えられる。
フィールドワークの周辺

写真:初夏の滋賀県立大学(後方)と大学近くを流れる江面川(手前)
22.魚類フィールドワークに関連した授業等
生物資源管理学実験・実習V(遺伝子工学実験)3時間 x 15回
バイオサイエンス,食品,医療,化学工業,DNA鑑定,犯罪捜査など,多方面で使われている遺伝子工学の技術を習得する実習系の授業。主な内容は以下の通り。
実験器具類の使用方法,ピペット操作の練習,魚類生体組織からのRNA抽出,パソコンによるプライマー設計とPCRの説明,RT-PCR,電気泳動,リアルタイムPCR(qPCR),ゲルからのDNA抽出,TAクローニング,大腸菌の形質転換,プラスミドDNA抽出,制限酵素処理,シークエンシング(DNA塩基配列の決定),シークエンシング結果の解析,各種分子生物関連のデーターベースの使い方,類似配列•モチーフの検索,パソコンによる遺伝子の解析など,基本的な実験技術を習得する

写真:ハゼ科魚類の遺伝子を抽出しているところ。サブクローニングのため,RNAの抽出,RT-PCR,電気泳動,ゲルの切り出しを行う。
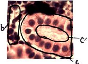
生物資源管理学実験・実習V(魚類学・動物学実験)3時間 x 15回
解剖学・組織学の実験手法は,ヒトを含めた動物全般に共通する基本的技術である。この実習では,魚類の外部・内部器官の観察,組織切片標本の作成,および組織の各細胞の観察と同定を通じて,解剖学・組織学の基本的な実験技術を習得する。主な内容は以下の通り。
魚類の外部形態,魚類の内部形態(解剖)と組織の固定,組織のパラフィン包埋・薄切・マウント,ヘマトキシリン・エオシン染色・封入,免疫染色(免疫組織化学),プレバラートの観察・撮影・スケッチ,魚の血液観察(ギムザ染色): 血球の観察と同定,魚の麻酔と小実験,ヒツジの血液検査,ニワトリの解剖,卵質検査,胃内微生物の観察,消化試験など。

写真:魚類組織の薄切りとパラフィン切片の伸展(左),病気のキンギョの血液のギムザ染色(右)


写真:ニジマスの尿細管のヘマトキシリン・エオジン染色(左)と小腸組織の免疫染色(右)
その他の授業: 水産資源学,魚類学、養魚飼料学など
「授業風景1〜3」を参照。
ミシガン研修
ミシガン州は五大湖のうち,ミシガン湖,スペリオル湖,ヒューロン湖,エリー湖の4湖にまたがるアメリカ北端の州である。州面積の41%が水域という米国随一の水郷地帯でもある。滋賀県とミシガン州は1968年から姉妹都市の関係にあり,様々な交流活動・連携活動を行っている。ミシガン州とカナダオンタリオ州との国境の町スーセーマリーにあるレイクスペリオル州立大学(LSSU)において,滋賀県立大学はフィールドワーク型の短期研修を毎年実施している。
これは3週間の異文化体験学習で,通常の授業単位として認定される。このフィールドワークの一環として,魚類と水生昆虫を採集・同定する環境フィールドワークが行われる。また,3週間の研修中にはカナダでの地質や植生に関するフィールドワーク,アメリカ原住民との交流なども含まれている。このミシガンフィールドワークは魚類に特化したフィールドワークではないが,個々の学生の興味・要望に沿うように内容の調整が図られる。
@電気ショッカーによる魚類採集と分類
水中に電気を通して魚を感電させて捕る漁法。物陰に隠れている魚を捕るのに適している。感電した魚はしびれて(仮死状態で)水流に流されるので,下手で流れてきた魚をすくい取る。この電気ショッカーは発電機で作動するタイプで,背中に機器を背負っている。川の水は腐葉土などから出るタンニンによってかなり茶色を呈しているが,汚れている訳ではない。湖水のほうは無色で抜群の透明度がある。
A環境指標生物(水生昆虫等)による水域の環境評価
水生昆虫用の受け網で砂礫中の生物を集めて,バットに入れ,分別する。検索図鑑を見ながら種の同定を行う。その生物相から,水域の環境評価を行う。
B近くの湖沼での魚類採集や魚釣りなど
規定のスケジュール以外に,学生の希望により,近くの湖沼で生物調査や魚釣りなどを行う。いずれも日本にいない魚がほとんどで大変興味深い。

電気ショッカーで物陰に隠れている魚を獲る; 水生昆虫と底生生物の採集,同定,および指標生物による水質判定(ミシガン,ペンディル川)

ロングノーズデイス: 北米の広範域に分布する全長15cm前後になるコイ科魚類。

ウミヤツメのアンモシーテス幼生(左):ウミヤツメは,ヤツメウナギの類で,五大湖で大繁殖して問題になっている。

左上から順に,カジカの類,ザリガニの類,ギンザケ稚魚,カワマスとニジマス

ホワイトサッカー: 北米に広く分布するコイ目,サッカー科魚類で全長40cm程度になる。

レイクスペリオル大学の魚類実験施設: アトランティックサーモンの増殖に力を入れている。アトランティックサーモン,レイクトラウトなどの卵のビタミンB1含量を調べることで,EMS(早期斃死症候群)の危険度を予測している。また,EMSの原因となるチアミナーゼを多く含む魚種を調べている(エールワイフのコラム参照)。他にも,スチールヘッド(ニジマス),ブラウントラウト,チヌーク,コーホなどの放流効果,アトランティックサーモン,ウオールアイ,パーチ,ホワイトフィッシュなどの年齢査定技術や遺伝的多様性,および餌料に関する調査・研究,ヤツメウナギの類(サケマス類に寄生して問題になっている)の駆除技術や生態に関する研究,レイクスタージョン(チョウザメ)の産卵と資源調査,コクチバスの産卵生態など,多様な調査・研究を行っている。

トゲウオの類(左・中)と種不明の稚魚(右)

現場授業(スペリオル湖、アメリカ、カナダ) 水の透明度は感動的

ため池での魚類採集
溜池でのイエローパーチ釣り(左),釣ったパーチをおろすアメリカ人(右):背から切りこみ,腹は切開しない。


ダーター(Darter)の類(左・下): パーチに近縁の小型底生魚で,非常に多くの種類がある。
マッドミノー(左):空気呼吸する,泥の中に潜る, シャイナーの類(右)
ダックレイク(左)パイク釣り(右)
23.フィールドワークの全体像
フィールドワーク(授業名: 環境フィールドワーク)は滋賀県立大学環境科学部を象徴する現場実習体験型の授業で,その内容は担当教員および受講生の学年によって多岐にわたる。詳細は,滋賀県立大学環境科学部HPを参照。
1年次
フィールドワーク1 (一回の授業が4時間半で、15回行う)
2年次
フィールドワーク2 (一回の授業が4時間半で、15回行う)
3年次
フィールドワーク3 (授業時間、授業回数、授業内容は担当教員によって異なる)